口腔内写真管理ソフト

サムネイルをダブルクリックすると表示される画面です。
この画面では線や丸を書いて患者さんにわかりやすく説明できます。



又、様々な画像処理を行うことができます。


1人分の全画像を一覧で表示することもできます


治療の説明、計画書作成画面で、画像に説明をつけて表示印刷できます。


シミュレーション

欠損部等に反対側同名歯を反転コピーしたり、部品画
像をコピーして、補綴後の予想写真を合成できます。

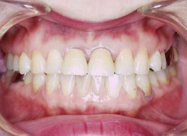
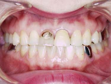
現在の状態 補綴後予想写真
右上1番と左下4番に反対側歯を反転コピーして補綴後の予想写真を合成します。


ホームページはこちら