シミュレーション

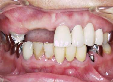
現在の口腔内
コピーする部分を選択します
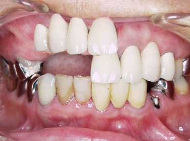
反転して欠損部位にドラッグします。
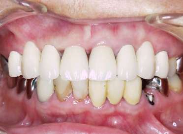
貼り付けて補綴後の予想写真が完成です。

反対側の歯牙が利用できない時は部品画像からコピーします。
術前と補綴後の予想写真を比較表示することもできます。
もどる